The surprising activities of APOBEC3B and 5-fluorouracil
p. 97
Emma L Walton DOI:10.4103/2319-4170.154913 PMID:25872558
In this mini-special issue on cancer, we learn how DNA editing enzymes can accelerate the development of cancer and we discover some remarkable effects of the chemotherapeutic agent, 5-fluorouracil, on the immune system. We also discuss a study revealing the continuing problem of vitamin B deficiencies in children in developing countries, and we determine how to distinguish two near-identical forms of necrotizing fasciitis.
APOBEC3B: Pathological consequences of an innate immune DNA mutator
p. 102
Michael B Burns, Brandon Leonard, Reuben S Harris DOI:10.4103/2319-4170.148904 PMID:25566802
Cancer is a disease that results from alterations in the cellular genome. Several recent studies have identified mutational signatures that implicate a variety of mutagenic processes in cancer, a major one of which is explained by the enzymatic activity of the DNA cytosine deaminase, APOBEC3B. As a deaminase, APOBEC3B converts cytosines to uracils in single-stranded DNA. Failure to properly repair these uracil lesions can result in a diverse array of mutations. For instance, DNA uracils can template the insertion of complementary adenines leading to C-to-T transition mutations. DNA uracils can also be converted into abasic sites that, depending upon the DNA polymerase recruited to bypass this lesion in the template strand, can lead to adenine insertion and C-to-T mutations as well as cytosine insertion and C-to-G transversion mutations. Finally, DNA uracils can also be converted into DNA breaks that may precipitate some types of larger chromosomal aberrations observed in cancer. These studies cumulatively demonstrate that APOBEC3B is a major source of genetic heterogeneity in several human cancers and, as such, this enzyme may prove to be a critical diagnostic and therapeutic target.
Enhancing the anticancer effects of 5-fluorouracil: Current challenges and future perspectives
p. 111
François Ghiringhelli, Lionel Apetoh DOI:10.4103/2319-4170.130923 PMID:25163503
5-Flurouracil (5-FU), a pyrimidine analog, was originally designed to prevent tumor cell growth. However, since the identification of its tumor inhibitory activity in 1957, substantial evidence has demonstrated that 5-FU could also harness the host immune system to prevent cancer progression. 5-FU sensitizes tumor cells to Natural Killer (NK) and CD8 T cell-driven cytotoxicity. We have also recently shown that 5-FU could selectively eliminate Myeloid Derived Suppressor Cells (MDSCs), which accumulate during cancer progression and compromise anticancer immune responses. The ability of 5-FU to trigger direct tumor cell death, enhance immune effector cell activation and eliminate immunosuppressive MDSCs explains its capacity to relieve tumor-induced immunosuppression and restore anticancer immune responses. Combination therapies using 5-FU with other chemotherapeutic agents, immunomodulators, or vaccines have further enhanced the clinical benefit of 5-FU. Here, we discuss how the increased understanding of the immune-driven effects of 5-FU prompts the design of relevant cancer chemoimmunotherapy strategies.
Chronic airway inflammatory diseases are life-threatening conditions, including bronchial asthma, chronic obstructive pulmonary disease (COPD), and so on. However, as the disease etiology remains largely unclear, current treatments that target chronic airway inflammatory diseases are still not satisfactory. DNA damage response (DDR), regarded as one of the many causes of apoptosis and cell senescence, as well as a factor involved in carcinogenesis, has recently begun to attract attention as a source of chronic inflammation. Considering that COPD and allergic asthma inflammation enhance DNA damage, measures related with DNA repair should be taken so as to reduce the injuries caused by these airway diseases. Small molecule inhibitors specifically against various DNA repair proteins have been developed over the last decade to fight against chronic diseases. Poly(ADP-ribose) polymerase (PARP) inhibitor, for example, has already shown its potential in asthma animal models to block airway inflammation. In this review, we highlight the roles of DDR in chronic airway inflammatory diseases, and try to have a better understanding of these diseases. We also discuss the possibilities of targeting DDR signaling to develop potential novel treatments against these conditions.
Gentamicin nephrotoxicity: Animal experimental correlate with human pharmacovigilance outcome
p. 125
Olufunsho Awodele, Oyindamola P Tomoye, Neils B Quashie, Kennedy I Amagon, Sunday A Ogunnowo DOI:10.4103/2319-4170.131387 PMID:25179694
Background: National Agency for Food and Drugs Administration and Control (NAFDAC), which is responsible for pharmacovigilance activity in Nigeria, recently withdrew injection gentamicin 280 mg, used in the management of life-threatening and multidrug-resistant infections from circulation, due to reported toxicity. Thus, this study aimed to investigate the toxicity profile of the commonly used strengths (80 mg and 280 mg) of gentamicin on kidney using animal models.
Methods: Animals were divided into five groups of 16 rats each. For rats of groups 1 and 2, gentamicin (1.14 mg/kg each group) was administered intramuscularly twice daily for 7 and 14 days, respectively, after which eight of them were sacrificed by cervical dislocation. Blood was collected via cardiac puncture and the kidneys were carefully removed and weighed immediately. The remaining eight animals were kept for reversibility study for another 7 and 14 days, respectively. For groups 3 and 4, gentamicin (4 mg/kg each group) was administered as a single daily dose for 7 and 14 days, respectively, and eight animals from the groups were subjected to reversibility study for 7 and 14 days, respectively. Group 5, the control group animals, were given 10 ml/kg distilled water for 14 days. Histopathology of the kidneys, serum creatinine levels, and antioxidant enzyme activities were investigated.
Results: Significant increase (p ≤ 0.001) in the level of creatinine of rats administered 4.0 mg/kg for 14 days was observed compared with all other groups. Significant (p ≤ 0.001) elevations in the lipid peroxidation in all gentamicin-administered animals and acute tubular necrosis in most of the gentamicin-administered animals were observed.
Conclusion: Toxicity profile of gentamicin on the kidneys is dependent on both dose and duration of administration. The findings justify the decision made by NAFDAC to ban the use of high-dose inj. gentamicin 280 mg in Nigeria.
Background: Strict glycemic control is critical in preventing adverse maternal and fetal outcomes with gestational diabetes mellitus (GDM), but frequently results in recurrent maternal hypoglycemia and is often impracticable. This study was done to determine whether a more lenient strategy might provide satisfactory outcomes and to formulate a glycemic score for prognostication of fetal outcomes.
Methods: A prospective non-interventional study was conducted on consecutive patients admitted with GDM between May 2007 and August 2009. Patients with pre-gestational diabetes were excluded. All patients received treatment at the discretion of treating consultants. Glycemic control was estimated by recording mean values of all glucose profiles performed. Fasting and postprandial blood glucose levels below 95 mg/dl and 120 mg/dl, respectively, were considered controlled. A glycemic score was calculated based on the number of mean blood glucose values controlled. Fetal outcomes were noted.
Results: Ninety-four patients with GDM were included. The glycemic score was significantly predictive of adverse fetal outcomes (p < 0.001). Analysis by receiver operating characteristic (ROC) curve showed good sensitivity and specificity for macrosomia (78.3% and 81.8%, respectively) and congenital anomalies (73.9% and 66.7%, respectively) with a glycemic score of 2 or less [area under curve (AUC) 0.768; odds ratio (OR), 11.17; 95% Confidence Interval (CI), 2.58-48.35; p < 0.001; and AUC 0.765; OR, 2.22; 95% CI, 0.71-6.92; p = 0.055, respectively]. Binomial logistic regression confirmed the glycemic score to be independently predictive of fetal outcome (p = 0.015).
Conclusion: The glycemic score is a sensitive and specific prognostic marker. Tight control of three of four values of blood glucose within the glucose profile appears sufficient to prevent adverse fetal outcomes.
Background: Vibrio vulnificus related necrotizing fasciitis is a fatal, rapidly progressive soft-tissue infection. Necrotizing fasciitis caused by Klebsiella pneumoniae is rare, which is indistinguishable from V. vulnificus infection in the emergency room. The purpose of this study was to compare the clinical characteristics and outcome between these two pathogens in diabetic patients.
Methods: Thirty diabetic patients were retrospectively reviewed over an 8-year period. Necrotizing fasciitis caused by V. vulnificus was found in 19 patients and by K. pneumoniae in 11 patients. The demographic, clinical, and laboratory characteristics, and the outcome between diabetic patients with V. vulnificus and K. pneumoniae infections were compared.
Results: Two patients in the V. vulnificus group (10.5%) and three patients in the K. pneumoniae group (27.3%) died. Fourteen patients in the V. vulnificus group (73.6%) had a history of exposure to seawater or raw seafood, and eight patients in the K. pneumoniae group (72.8%) had abrasions or chronic ulcers over the site of infection. We found that the time interval between onset of illness and presentation to the hospital was significantly shorter in the V. vulnificus group than in the K.pneumoniae group (2.47 days vs. 5.45 days, p < 0.001).
Conclusions: The exposure history and the time from exposure to hospital presentation with severe sepsis syndromes should alert clinicians to distinguish between necrotizing soft-tissue infections with V. vulnificus (contact with seawater or raw seafood) and K. pneumoniae (abrasions or chronic ulcers) in diabetic patients. Infection with V. vulnificus progresses more rapidly than infection with K. pneumoniae during the initial clinical course.
Background: Corrective osteotomy and intramedullary rodding are widely used in children with osteogenesis imperfecta (OI), but revision rodding is often required. This study aims to investigate the effect of purchasing distal femoral epiphysis on the longevity of fixation using non-elongating rod.
Methods: We investigated children with Sillence type III or IV OI who received antegrade femoral Rush rod fixations at age between 4 and 10 years in our institution. The fixations were classified into group A in which the rod reached distal femoral epiphysis and group B in which the rod stopped at femoral metaphysis. Failure of fixation is defined as rod cutting out of the cortex or when revision surgery was performed. Calculation of longevity of each rod fixation and Kaplan-Meier survival analysis were performed and compared between the two groups.
Results: Eighteen children had the first femoral rodding at a mean age of 6.9 years and received a total of 61 femoral roddings with a mean follow-up of 11.4 years. Group A included 38 roddings performed at a mean age of 7.1 years and group B included 23 roddings performed at a mean age of 6.6 years. Group A had less revision rate (58% vs. 87%), more chance of survival > 3 years (74% vs. 43%), and longer median survival time (80 months vs. 33 months) than group B.
Conclusions: Less revision rate and better 3-year and 5-year survival rate were proved in the roddings that purchased epiphysis. We emphasize on using the precise implant length to purchase distal femoral epiphysis when non-elongating rod is the only available implant for fixation in children with OI.
Background: The purpose of the study was to correlate the provisional diagnosis of pericoronal radiolucencies associated with impacted, embedded, or unerupted teeth with the histopathologic diagnosis, and also to emphasize the importance of early detection for better diagnosis and management.
Methods: This is a retrospective study involving 18 cases of pericoronal radiolucencies associated with unerupted, embedded, or impacted teeth whose data during 1-year period were retrieved, and were reviewed for clinical, radiological, and histopathologic data. Also, comparison and correlation of clinico-histopathologic diagnosis was made.
Results: Of the 18 cases, 11 were provisionally diagnosed as dentigerous cyst and the remaining were diagnosed as ameloblastoma, odontogenic keratocyst, adenomatoid odontogenic tumor, and calcifying epithelial odontogenic cyst. Histopathologic diagnosis of the 18 cases showed varied results, with only 10% correlating with the provisional diagnosis.
Conclusion: Although many pathological processes may present radiographically as pericoronal radiolucencies associated with unerupted teeth, the most common is the dentigerous cyst. Hence, it is crucial for the clinician to fully investigate all teeth that fail to erupt at the expected time, and promptly initiate appropriate assessment and management of suspected cystic lesions.
Background: Computerized lung sound analysis involves recording lung sound via an electronic device, followed by computer analysis and classification based on specific signal characteristics as non-linearity and nonstationarity caused by air turbulence. An automatic analysis is necessary to avoid dependence on expert skills.
Methods: This work revolves around exploiting autocorrelation in the feature extraction stage. All process stages were implemented in MATLAB. The classification process was performed comparatively using both artificial neural networks (ANNs) and adaptive neuro-fuzzy inference systems (ANFIS) toolboxes. The methods have been applied to 10 different respiratory sounds for classification.
Results: The ANN was superior to the ANFIS system and returned superior performance parameters. Its accuracy, specificity, and sensitivity were 98.6%, 100%, and 97.8%, respectively. The obtained parameters showed superiority to many recent approaches.
Conclusions: The promising proposed method is an efficient fast tool for the intended purpose as manifested in the performance parameters, specifically, accuracy, specificity, and sensitivity. Furthermore, it may be added that utilizing the autocorrelation function in the feature extraction in such applications results in enhanced performance and avoids undesired computation complexities compared to other techniques.
Background: Anemia is a major public health problem among children under 5 years of age in India. Cobalamin and folate deficiencies play an important role in the etiology of anemia. This study was done to assess the prevalence of cobalamin and folate deficiencies among children in the age group of 12-59 months.
Methods: A community-based cross-sectional study was conducted. A total of 470 children were included. Non-fasting venous blood samples were collected from each child for the estimation of serum cobalamin and folate levels. Pattern of dietary consumption of the each child was assessed with the help of the food frequency questionnaire (FFQ) method.
Results: The median levels (interquartile range) of serum cobalamin (n = 469) and folate (n = 416) were found to be 275 (202-427) pg/ml and 3.02 (2.02-4.94) ng/ml, respectively. The overall prevalence of cobalamin and folate deficiencies was found to be 180/469 [38.4%; 95% Confidence Interval (CI): 34.1-42.8%] and 263/416 (63.2%; 95% CI: 58.5-67.7%), respectively.
Conclusions: A high prevalence of cobalamin and folate deficiencies was found in children under 5 years of age.
Perception of premenstrual syndrome and attitude of evaluations of work performance among incoming university female students
p. 167
Shu Hui Cheng, Zih-Jie Sun, I Hui Lee, Chi-Chen Shih, Kao Chin Chen, Shih-Hsien Lin, Feng-Hwa Lu, Yi-Ching Yang, Yen Kuang Yang DOI:10.4103/2319-4170.138319 PMID:25179727
Background: Premenstrual syndrome (PMS) is a common condition, and for 5% of women, the influence is so severe as to interfere with their mental health, interpersonal relationships, or studies. Severe PMS may result in decreased occupational productivity. The aim of this study was to investigate the influence of perception of PMS on evaluation of work performance.
Methods: A total of 1971 incoming female university students were recruited in September 2009. A simulated clinical scenario was used, with a test battery including measurement of psychological symptoms and the Chinese Premenstrual Symptom Questionnaire.
Results: When evaluating employee performance in the simulated scenario, 1565 (79.4%) students neglected the impact of PMS, while 136 (6.9%) students considered it. Multivariate logistic regression showed that perception of daily function impairment due to PMS and frequency of measuring body weight were significantly associated with consideration of the influence of PMS on evaluation of work performance.
Conclusion: It is important to increase the awareness of functional impairments related to severe PMS.
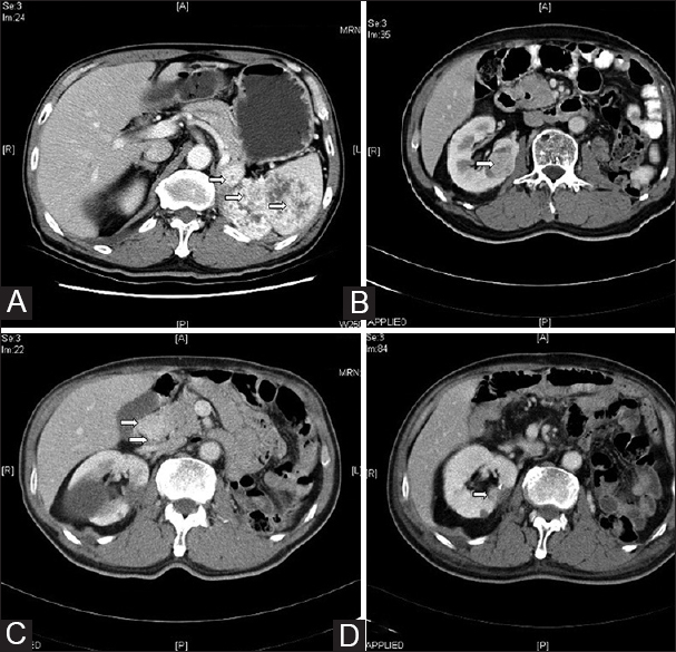
Metastasis of renal cell carcinoma to the pancreas is uncommon and, in most cases, presents as a single pancreatic mass that shows a more favorable prognosis than primary pancreatic tumors. We examined patients with renal cell carcinoma metastatic to the pancreas, and discuss the clinical findings, treatment administered, and final outcomes. The present study is a retrospective analysis of renal cell carcinoma patients with pancreatic metastasis. Pancreatic tumor specimens were obtained by surgical excision, surgical biopsy, fine-needle biopsy, or endoscopic ultrasound biopsy. The surgical approaches included distal splenopancreatectomy, total pancreatectomy, or distal pancreatectomy. The physician determined the postoperative treatment regimen with interferon-α or targeted therapy on the basis of patient's performance. A total of six patients with median age of 50 years were included in the study. The median time from the primary nephrectomy to the development of pancreatic metastasis was 16 years. In the biopsy-only group, the mean stable disease period was 16.5 months. In the patients treated with surgery combined with interferon-α or targeted therapy, the mean stable disease period was 29.5 months. The patients treated with repeat mastectomy showed a mean stable disease period of 33.3 months. Aggressive surgical management is more effective than observation or immunotherapy. Recent advances in the design of targeted therapies may provide alternative treatment strategies. Combination therapy may play an important role in the future. Considering patient compliance and cost-effectiveness, resection of pancreatic metastasis is currently the first choice of treatment.